
[스포츠서울 | 황철훈 기자] 초기 폐암의 경우 결절 전체가 불투명한 ‘순수 고형’인 환자가 ‘간유리 음영’ 환자보다 ‘숨어있는 임파선 전이’가 더 많은 것으로 나타났다.
‘숨어있는 임파선 전이’란 CT 등 수술전 영상 검사에서는 임파선 전이가 확인되지 않았지만 폐 절제 후 조직검사에서 임파선 전이가 확인된 경우를 말한다. 임파선 전이 여부는 추가 항암치료를 할지 말지를 결정하는 기준이 된다.
중앙대학교병원 심장혈관흉부외과 윤동욱 교수와 한양대구리병원 최수환 교수, 삼성서울병원 조종호 교수 연구팀은 초기 폐암으로 수술받은 환자들에서 관찰되는 숨어있는 임파선 전이에 관한 연구 논문(Importance of Lymph Node Evaluation in ≤2-cm Pure-Solid Non-Small Cell Lung Cancer)을 최근 국제저널(Annals of Thoracic Surgery)에 발표했다.
연구팀은 2003년부터 2017년까지 수술 전 CT와 PET-CT 영상 검사에서 임파선 전이가 없는 2㎝ 이하의 초기 폐암으로 확인돼 폐 절제 수술을 받은 1329명의 환자 중 ‘간유리 음영’을 포함한 종양을 가지고 있던 환자 591명과 ‘순수 고형(pure solid)’으로 보이는 종양을 가지고 있던 환자 738명을 비교 분석했다.
그 결과, CT 영상에서 보이는 종양의 모양과 크기에 따라서 숨어있는 임파선 전이가 확인된 비율이 다른 것을 확인했다.
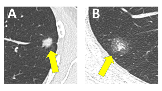
CT 영상에서 폐의 일부분이 불투명한 유리처럼 뿌옇게 보이는 ‘간유리 음영(ground glass opacity)’을 포함한 종양을 가진 환자들에게서는 크기와 상관없이 약 2%의 확률로 수술 검체에서 ‘숨어있는 임파선 전이’가 확인됐다. (1cm 이하 2.27%, 1.0~1.5cm 2.19%, 1.5~2.0cm, 2.18%)
하지만, 결절 전체가 불투명해 ‘순수 고형’ 형태로 보이는 종양을 가진 환자들은 그 크기가 클수록 수술 후 임파선 전이가 확인되는 비율이 높았다. 1㎝ 이하에서 2.46%이던 확률이 1.0~1.5㎝에서는 12.46%, 1.5~2.0㎝에서는 21.31%까지 높아지는 것이 확인됐다.
또한, ‘순수 고형’ 형태의 종양을 가진 암 환자들의 5년 무병 생존율(disease-free survival)은 71.2%로 ‘간유리 음영’ 환자들의 생존율(94.4%)에 비해 예후가 안좋은 것으로 확인됐다.
이에 따라 연구팀은 1㎝ 이상의 작은 크기의 폐암이라도 ‘순수 고형’ 형태일 경우 폐 절제 수술 시 반드시 임파선 박리 절제를 함께 시행할 것을 권고했다.
중앙대병원 심장혈관흉부외과 윤동욱 교수는 “2㎝ 이하의 작은 종양을 가진 환자들이라 하더라도 ‘숨어있는 임파선 전이’가 확인되는 경우가 많았고, 이는 순수 고형 형태로 보이는 암 환자들에게서 특히 많았다”며, “초기 폐암에 있어 숨어있는 임파선 전이를 예측하는 것은 환자들에게 부작용이 동반될 수 밖에 없는 항암치료를 막을 수 있는 중요한 단서로써, 이번 연구를 통해서 수술 중 임파선 절제의 중요성을 다시 한번 확인할 수 있었다”고 말했다.
한양대구리병원 심장혈관흉부외과 최수환 교수는 “순수 고형 형태로 보이는 암 환자들은 수술 전 기관지내시경을 통한 임파선 검사(EBUS) 등의 시술이 필요할 것으로 보인다”며, “이 연구는 앞으로 순수 고형 형태의 폐암 환자들의 치료 방침을 정하는 데 도움이 되는 자료로서 그 가치가 있을 것으로 기대된다”고 말했다.
한편, 연구팀의 이번 연구논문은 미국 흉부외과학회에서 발행하는 SCIE급 공식 국제저널인 ‘Annals of Thoracic Surgery’ 2024년 3월호에 게재됐다.
color@sportsseoul.com
기사추천
0